
近日,青岛市立医院脑科中心功能神经外科团队成功完成胶东地区首例四通道脑深部神经刺激术(DBS),为一名梅杰综合征患者解除病痛。该手术的顺利实施,标志着青岛市立医院在运动障碍疾病神经调控治疗领域迈入更精准、更个体化的新阶段,为更多复杂病例带来了新希望。
患者为71岁男性,罹患梅杰综合征长达8年。初期表现为无诱因出现的面部不自主抽动、挤眉弄眼、眼睑下垂及眼干眼涩,症状持续存在。患者曾辗转多家医院并接受“肉毒素注射”治疗,效果不佳,后期症状加重至睁眼困难,严重影响生活。为求进一步诊治,患者来到青岛市立医院。
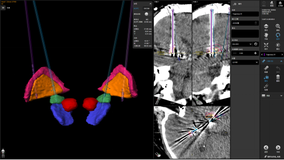
入院后,经本部神经外科团队详细评估,对于复杂且顽固的症状,常规的脑起搏器(通常为4触点)植入方案可能难以实现全面、有效的控制。经过严谨的多学科讨论,脑科中心本部神经外科主任李胜利带领团队决定迎难而上,经与北京301医院专家会诊讨论后决定为患者实施四通道DBS植入术。

与传统方案相比,四通道DBS系统如同为大脑安装了“双核双靶点”的精准刺激系统。医生在双侧大脑的特定核团中各植入一根拥有多个触点的电极,通过独立的四个通道进行刺激。这种技术优势在于:
1.多靶点覆盖:可同时或交替刺激不同功能区域,应对梅杰综合征累及多部位的症状。
2.刺激模式多样化:触点数量的增加带来了几何级增长的刺激组合模式,可实现更为精细、个体化的参数调整。
3.精准定向刺激:有效聚焦目标脑区,减少电流扩散,在提升疗效的同时,最大程度避免副作用。
4.长效电池支持:该系统配备电池寿命可达25年,显著降低了因电量耗尽需再次手术更换的风险,为患者提供长期、稳定的治疗保障。

手术由谭守刚DBS功能团队联合北京301医院专家顺利完成,凭借丰富的经验和娴熟的技术,在立体定向框架与多模态影像融合技术的引导下,将电极精准植入预设核团。术后给予低电量刺激时,患者眼睑及面部的抽动现象即刻得到显著改善,这为手术团队注入了极大的信心。术后复查显示,电极位置精准,达到预期目标。术后第三周,病人经神经调控后症状改善非常满意。

谭守刚主任表示:“此例四通道DBS手术的成功,不仅是电极数量的增加,更是治疗理念和技术的升级。它为我们解决复杂、顽固性的运动障碍疾病,如梅杰综合征、帕金森病的‘中轴症状’精神症状等,提供了更强大的武器。”
作为胶东地区功能神经外科的领军力量,青岛市立医院本部神经外科将持续深耕脑深部电刺激神经调控领域,推动包括四通道、8触点等先进DBS技术的合理应用,用更先进的技术和更优质的诊疗方案,为深受运动障碍病困扰的患者,照亮重返正常生活的道路。
责任编辑:李 震
正规的配资平台有哪些提示:文章来自网络,不代表本站观点。